1.はじめに
「ヒトのたんじょう」は,今回の学習指導要領の改訂により選択から必修になった単元である。児童はメダカの誕生について学んでいるが,学校で観察可能なメダカの発生の学習とは異なり「ヒトのたんじょう」については,市販のビデオ教材等以外で身近に実感を伴った理解や実生活との関わりを意識できる取り組みはなかなか難しい。
そこで,ここでは具体的な体験や主体的な問題解決を意識した実践を紹介する。
さらに,ヒトの命の連続性や偶然性,神秘性などを感じ取り,児童一人一人がたった一つしかない自分の「命」を大切にしようとする気持ちをはぐくむことができるような指導計画の工夫も図っている。
2.指導計画 全7時間
- 1〜2時間目 ヒトのたんじょう ※実践例<1>(1/2時間)
- 3〜4時間目 ヒトの受精卵の育ち ※実践例<2>
- 5時間目 ヒトの成長に必要な養分はどこから?
- 6時間目 ヒトの成長のまとめ
- 7時間目 発展学習 ※実践例<3>
3.指導方法の工夫改善
(1)実践例<1> 「ヒトのたんじょう」
@「聴診器」で,自分や友達の心音を聞いてみよう。

- <聴診器で心音を聞いている場面>

- <聴診器で脈の音を聞いている場面>
A妊娠しているお母さん(クラスの保護者,自分の学校の先生などしっかり了解を得て)のおなかの中にいる赤ちゃんの命の証(心音)を聞いてみよう。
☆留意点☆
- 友達の心音を聴く場合は,同性同士の組み合わせになるよう留意する。
- クラスの保護者,自分たちの学校の先生など身近な人の赤ちゃんの心音を直接聞かせてもらうことにより,児童の学習に対する興味関心を一層高めることができると考えられる。近くに産婦人科などがある場合,また母親学級などの協力を得ることも考えられるが,授業の主旨等をしっかりと伝え妊婦さんの了解を得て行うよう配慮する。
(2)実践例<2> 「ヒトの受精卵の育ち」
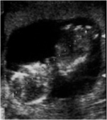
@おなかの中の赤ちゃんを見てみよう。
- 胎児の様子をエコーで撮影したDVD(保護者より借用)などの映像を見て,手や足が形成されていく様子や大きさの変化などを知る。
Aおなかの中の赤ちゃんはどのように大きくなっていくのかな。
- クラスの保護者など身近な人の実際のエコー写真(妊娠初期〜約18週の胎児のエコー写真)をお借りして使用し,大きくなっていく様子を調べるとともに,本人から各週数時点における様子について説明をいただく(その時のいとおしい気持ちや喜び,率直な感想等)。
☆留意点☆
- 実際のエコー写真や映像を見ることにより,実感を伴って胎児の成長の様子を知ることができる。ただし,妊娠20週を過ぎると胎児が成長し,エコー写真によって全身の映像を確認できにくくなるため配慮が必要である(妊娠初期のエコー写真を借りるとよい。この場合も妊婦の許可を得て行うようにする)。尚,近くに産婦人科がある場合は協力を求めてもよい。
(3)実践例<3> 「発展学習」
@自分の課題をたてて調べたことを交流しよう。
- 学習をふり返ってもっと調べてみたいことについて課題を設定し調べる。
- 調べたことやその結果,感じたこと等について発表し合う。
〔例〕「ほかの動物のたんじょうについて」
- ハムスター → 約21日間
- ウサギ → 約31日間
- ウシ → 約280日間
- マッコウクジラ → 約500日
- アフリカゾウ → 約660日
☆留意点☆
- 学習を通して児童から出た疑問を大切に扱いたい。
- 調べ学習の時間を授業時間でとることは難しいため,本実践では休み時間や家庭学習等の時間を利用して自主的に調べ学習を行っている。
4.実践の成果
日常生活においては,赤ちゃんの誕生に関わり,実際に学校で妊婦さんと関わる機会はそう多くはない。また,受精卵の育ちについても日常的に継続して観察することは難しい。本実践では,保護者や学校の職員の協力を得ることにより,単なる知識としての理解に終わることなく「ヒトのたんじょう」を実感を伴って理解することができた。また,児童の<調べた結果や感想>のところでも紹介したように精子と卵子の偶然的な出会いによって赤ちゃんが生まれてくることやお母さんのおなかの中で大切に守られて生まれてきたことを知ることにより,「命」の神秘性や連続性,偶然性などを実感し,祖先から続いている「命」の大切さに気付くこともできた。
この実践は,道徳教育の内容項目視点3の(1)「生命尊重」の授業で生かすことができた。